
Why Is My Gum Swollen Around One Tooth In The Back
Swollen gum around one tooth can appear out of the blue, even if you brush and floss regularly. Read on to find out the real culprits of gum inflammation and nip the problem in the bud before it snowballs.

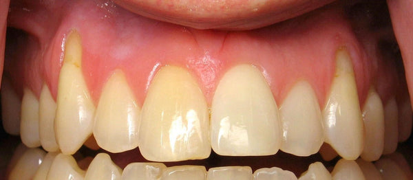
Why Are My Gums Yellowish And What Does It Mean For My Oral Health?
Why are my gums yellowish and should I be worried? Get answers to your questions about gum discoloration. We break down the causes, symptoms and treatment.

Can Psoriasis Affect Your Gums? Here’s the Answer You’ve Been Looking For!
Psoriasis can be a pain, but can it affect your gums as well? We're breaking down the facts on "Can psoriasis affect your gums?" in this must-read guide.

How to Treat a Gum Infection Without Antibiotics: Is It Even Possible?
Can you really ditch the pills? Here are some effective natural methods for managing a gum infection. Find out how to treat a gum infection without antibiotics.

How to Stop My Gums From Itching: Effective Remedies!

Does Hydrogen Peroxide Help Swollen Gums: The Truth Behind This Home Remedy
Does hydrogen peroxide help swollen gums? Before you gargle with hydrogen peroxide, read this! We'll tell you what's fact, what's fiction. and if it’s safe?