Bad breath is not only an embarrassing social issue. It is a struggle that can be exhausting and embarrassing to millions of people around the world, creating the tendencies towards feeling low in confidence and even tendency to avoid the conversations. Naturally, many people instantly accuse the food they consumed, such as garlic or onions, or habits, such as smoking. However, when you brush, floss and chew gum, and the odor is still there, the question arises: does gingivitis cause bad breath?
Yes, gingivitis is one of the most frequent and unnoticeable causes of long-standing bad breath. Gingivitis or the initial stage of gum disease causes the accumulation of bacteria in the mouth to be unhealthy. Those bacteria do not only irritate your gums, but they also release some smelly sulfur compounds that make your breath bad.
This article will provide perfect details on how gingivitis and bad breath are associated, how to distinguish between the gum-related breath and the other causes, and, finally, how to help and prevent it without taking up medications.
First - Let’s Get to Know What Gingivitis is
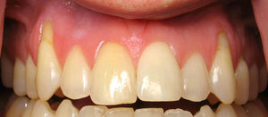
Before we take a deeper look into whether gingivitis is a cause of bad breath, it is important to get our facts straight on what gingivitis is. Gingivitis is inflammation of the gum that occurs due to a pile of plaque on the teeth. Plaque is a film of bacteria, food and saliva. When plaque doesn’t eliminate effectively, it turns to rock hard tartar, which inflames the gums causing inflammatory conditions.
Gingivitis does not cause much pain in its early stages, this is why it is often disregarded by people. However, symptoms such as bleeding gums when brushing your teeth, redness, swelling, and tenderness must not be overlooked. When gingivitis is left untreated, it may upgrade to periodontitis - a more serious condition of gum disease, which can disturb the bone, loosen teeth, and trigger even worse malodor (bad breath).
Does Gingivitis Cause Bad Breath?
Gingivitis does cause bad breath, and more often than people realize. Bad breath, also known as halitosis, is one of the earliest warning signs of gum disease. If you’ve ever wondered why your breath still smells unpleasant despite brushing and using mouthwash, gingivitis could be the culprit hiding behind the odor.
How Bacteria Create the Odor
When plaque builds up along the gumline, it becomes a breeding ground for bacteria. These bacteria break down food particles left in the mouth and, in the process, release volatile sulfur compounds (VSCs). These sulfur compounds smell rotten, like decaying eggs or even spoiled meat. That’s why gingivitis-related halitosis has a particularly unpleasant and lingering odor.

Why Mouthwash and Mints Don’t Work Long-Term
Many individuals cover up the problem using mouthwash, chewing gum or breath sprays. These may be used to cover over the smell, but not address the root cause of the problem. Until it removes the bacterial buildup and gum inflammation, bad breath will keep recurring. That is why dentists usually mention that chronic halitosis is most of the time a gum problem not a hygiene problem.
So, to put it plainly: does gingivitis cause bad breath? Yes. This is because the bacteria and inflammation that occurs in gingivitis actively produce bad-smelling gases. The odor will not go away until the gum disease is taken care of and the bacterial growth is minimized no matter how much you brush, rinse, or chew gum.
The Science of Bad Breath: Why Gingivitis Triggers It
To understand why gingivitis causes bad breath, you need to understand what’s happening inside your mouth. Gingivitis is not only about inflamed gum - it is how the excess of bacteria in the gum interact with the oral environment to create bad smells.
The Role of Anaerobic Bacteria
The human mouth is a common living place for hundreds of bacterial species, though not all of these are troublesome. The problem begins when the anaerobic bacteria survives in an oxygen-free condition, settling in tiny gaps between the teeth and gums. These bacteria produce waste products, specifically volatile sulfur compounds (VSCs), with severe unpleasant odors. You can think of rotten eggs or sulfur gas; that is basically what is being produced just beneath your gums.
Gum Inflammation and Its Contribution
Gingivitis makes your gums swell and easily bleed. This establishes a wet, nutrient rich environment that gives the bacteria an ideal environment to reproduce fast.
The dead gum cells, mixed with blood residues, thus - further feed the microbes. As one follows another, the inflammation worsens, and the amount of bacteria present increases too - resulting in a more severe bad breath.
Why the Odor Becomes Persistent
In comparison with food-related bad breath, which is temporary and goes away after brushing, bad breath caused by gingivitis remains. It is so because this smell is grounded deeper, in gum tissue and plaque deposits. As long as those bacterial colonies are not removed by cleaning and treatment, the smell will just reappear - no matter how much mouthwash you consume.
From a scientific standpoint, the connection is undeniable: does gingivitis cause bad breath? Absolutely. The combination of inflammation, overgrowth of bacteria, and compounds of sulfur creates a unique chronic smell that can not be covered long.
Signs That Your Bad Breath Might Be Linked to Gingivitis
There are plenty of culprits of bad breath, although several symptoms suggest the presence of gingivitis:
- Bleeding gums when brushing or flossing – A strong indication of gum inflammation.
- Swollen, tender, or red gums – Healthy gums should be pink and firm.
-
Persistent bad taste in the mouth – Another result of bacterial activity.
If you notice these symptoms along with chronic halitosis, it’s time to ask yourself again: does gingivitis cause bad breath in my case? Chances are, it does.
Other Causes of Bad Breath Beyond Gingivitis
Not all bad breath is due to gingivitis. Let’s break down some common alternative causes:
|
Cause of Bad Breath |
Main Characteristics |
How to Tell the Difference |
|
Gingivitis |
Red, swollen, bleeding gums + odor |
Odor accompanied by gum disease symptoms |
|
Dry Mouth (Xerostomia) |
Sticky mouth, lack of saliva |
Odor worsens overnight or after medication use |
|
Tonsil Stones |
White/yellow stones in tonsils |
Bad odor + visible stones in throat |
|
Dietary Factors |
Onions, garlic, spicy food |
Odor temporary, disappears after brushing |
|
Smoking & Alcohol |
Smoky, chemical odor |
Directly linked to tobacco/alcohol habits |
This comparison shows that although bad breath may originate in various ways, gingivitis-related bad breath is often accompanied by other gum related problems.
Perio-Breath: When Gingivitis Advances Into Severe Bad Breath
The bad breath associated with gingivitis is not pleasant to deal with but when the condition develops further into severe stages through gum disease there is a possibility of it becoming far more traumatic. Dentists occasionally describe this severe and chronic form of halitosis as perio-breath. It is not only about having some slight odor, but having it strong and constantly with others being able to detect it when you are not even talking to them.

What Exactly Is Perio-Breath?
Perio-breath is the result of untreated gingivitis that has advanced into periodontitis, a serious gum infection that damages tissues and supporting bone. In this stage, bacteria don’t just live on the surface of your gums; they invade deep periodontal pockets around your teeth. These pockets trap food, blood, pus, and dead tissue, all of which release strong-smelling compounds.
Why Perio-Breath Is So Severe
The intensity of perio-breath comes from a combination of factors:
- Deeper gum pockets mean more places for odor-causing bacteria to thrive.
- Pus and tissue breakdown add an additional layer of foul smell.
-
Chronic inflammation weakens gum defenses, allowing infections to persist.
This isn’t the kind of breath that a mint or mouthwash can mask—it lingers and can even spread across a room.
The Emotional and Social Impact
Living with perio-breath is emotionally draining. People may avoid close conversations or feel embarrassed during social or professional interactions. Unlike temporary bad breath, this odor is persistent and deeply tied to oral disease, which makes it both a health and confidence issue.
If gingivitis is ignored, the simple question “does gingivitis cause bad breath?” evolves into a more troubling reality: gingivitis leads to perio-breath, an advanced stage of oral odor that requires professional intervention. The longer you wait, the more difficult it becomes to reverse the damage and the odor.
How to Treat Gingivitis And Improve Bad Breath
The good news is that gingivitis is reversible with proper care. Treatment usually includes:
Professional Dental Cleaning
A dentist or hygienist can remove tartar and plaque buildup through scaling and polishing.
Improved Oral Hygiene at Home
Brushing twice daily with fluoride toothpaste, flossing once a day, and rinsing with an antibacterial mouthwash can control bacteria.
Natural Supportive Remedies
Oil pulling, herbal rinses, and natural oral care products can also help reduce bacterial growth. This is where all-natural solutions like The Goodbye Company Gum Disease oral solution fit in.
The Goodbye Company Gum Disease: A Natural Solution That Treats Bad Breath
If you’re looking for a natural and effective way to manage gingivitis and the bad breath that comes with it, The Goodbye Company Gum Disease should be part of your daily oral care routine.
This product is more than just a quick fix. It’s infused with Omega 3 and 9 oils, along with neem and clove essential oils; all of which are known for their antibacterial, anti-inflammatory, and healing properties. Neem has long been used in Ayurvedic medicine for gum health, while clove oil provides pain relief and fights bacteria. Combined with omega-rich oils, this formula helps soothe irritated gums, reduce bacterial buildup, and combat gingivitis at its root.
If you currently suffer from bleeding gums, tooth pain, or sensitivity to hot and cold foods, adding this product into your daily oral routine can make a noticeable difference. It’s considered by many as the best natural gum disease cure.
Daily Habits to Prevent Gingivitis And Bad Breath
Beyond professional and product-based treatments, prevention comes down to consistent habits:
-
Brush at least twice daily, especially before bed.
-
Floss to remove food particles between teeth.
-
Stay hydrated to keep saliva production strong.
-
Avoid smoking and limit alcohol.
Use natural gum care solutions like The Goodbye Company Gum Disease to strengthen gums daily.
By combining good habits with the right products, you can drastically reduce your risk of gingivitis and the embarrassing bad breath it causes.
FAQs: Quick Answers About Gingivitis And Bad Breath
Does gingivitis cause bad breath?
Yes. Gingivitis creates the perfect environment for bacteria that release foul-smelling sulfur compounds.
Can gingivitis-related bad breath be reversed?
Absolutely. With proper oral care and treatment, both gingivitis and the odor it causes can be eliminated.
How long does it take to get rid of bad breath from gingivitis?
With consistent care, you can see improvements in a few weeks. But deep infections may take longer.
Can natural remedies like The Goodbye Company Gum Disease help?
Yes. Its neem and clove essential oils, combined with omega 3 and 9 oils, provide natural antibacterial and healing effects for gum health.
Is gingivitis dangerous beyond bad breath?
Yes. If untreated, it can progress to periodontitis, leading to tooth loss and more serious oral health problems.
Outlook
So, does gingivitis cause bad breath? The evidence is clear: yes, it does. And ignoring it won’t make the problem disappear - it will only worsen with time. Fortunately, gingivitis is reversible when caught early. By improving your oral hygiene, seeking dental care when needed, and integrating natural treatments like The Goodbye Company Gum Disease oral solution, you can keep both your gums and your breath healthy.
Bad breath doesn’t have to control your life. Address the root cause; gingivitis - and you’ll not only protect your smile but also regain the confidence that comes with fresh, clean breath.


