It’s a beautiful morning - you’re brushing your teeth and notice something very unusual! A slight gap between your gum line. You look closely - and your teeth seem longer than before.
Sound familiar? You're not alone. The receding gums affect millions of individuals across the world; it is a condition whereby the gum tissues surrounding a tooth start to melt back gradually leaving more of the tooth uncovered and in severe cases the root of a tooth may also be exposed.
However, the problem with receding gums does not end there. They form crevices where bacteria may accumulate creating infections, tooth sensitivity and even tooth loss in case you’re ignoring the treatment. The positive news? You can learn “how to treat receding gums”, and stop the process in its tracks. In fact, in some cases, you can even reverse the effects and restore your oral health to an acceptable level.
To restore your gums to good shape, the first step is to know what to expect. There are individuals who favour less-invasive treatments, whereas some are successful with natural ones. The trick is to be able to get the right combination depending on your individual circumstances and way of life.
Ready to get in control of your gums? It is time to dig into the most efficient options to treat receding gums and revive your self-confident smiles.
Touching Down on the Basics of Receding Gums
What Are Receding Gums?
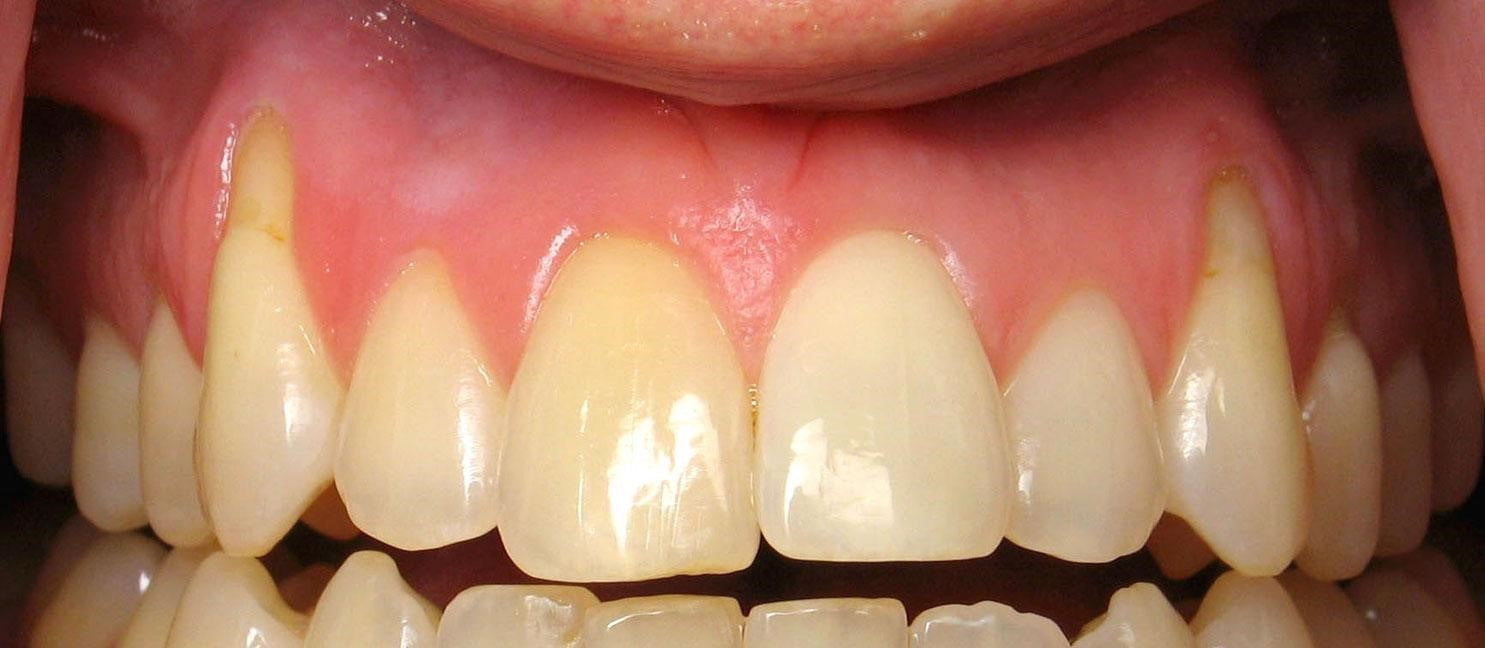
Receding gums are a gradual shrinking of the tissue (pink cover) around your teeth that exposes more of the tooth. In normal mouths, gums make a secure seal between each tooth and the gum line. Unfortunately, when recession occurs, this protective covering wears away - leaving gaps already exposing the sensitive root surface of teeth.
Your gums act as a cover to your teeth. Once that blanket begins to slide, it leaves vulnerable surfaces open to bacteria, which can damage your mouth drastically.
The Anatomy of Healthy Gums
Healthy gum tissue appears pink and firm, fitting snugly around each tooth like a well-tailored collar. The tissue should lie flat against the tooth surface without any gaps, bleeding, or swelling. Knowing what normal gums are supposed to look like can help you determine when gum recession starts to occur.
The gum line is generally positioned just above the point where the white enamel of the tooth overlaps the slightly yellowish root. If you want to learn “how to treat receding gums”, it is important to realize that this is the natural boundary and that you want to look out to see the progress and make sure that your gums are not going any further.
Common Causes of Gum Recession
Poor Oral Hygiene Habits
Poor brushing and flossing permits the formation of bacterial plaque along the gum line. Gradually, this sticky coating is consolidated into tartar to irritate the gum tissue and provoke inflammation. The immune reaction of the body, which is responding to this bacterial attack, can actually cause the gums to separate themselves with the teeth - nature creating some space between itself and the attack.

However, it is not only about missing your oral care routine. Unstable habits lead to an ideal environment of disease-causing bacteria to thrive. These micro organisms secrete toxins that can physically harm the gum tissue and the other supportive structures.
Aggressive Brushing Techniques
Ironically, intense or rough oral care can also be a problem too. Brushing with hard-bristled toothbrushes or toothbrushing with large force can cause abrasion to sensitive gums in the long run. A lot of people believe that the harder they brush their teeth, the cleaner they will become, but this belief is usually counterproductive.
The correct method is to use a soft-bristled brush with slight, circular movements. Consider massage, not scrubbing. Your gums are more amenable to regular, gentle treatment than to occasional furious cleanings.
Genetic Predisposition and Age Factors
People who inherit thin gum tissues or weaker oral structures are more prone to recession despite their oral care efforts. Family history also has a lot to do with it - if your parents had the gum problems, chances are that you will as well.
Age also has an adverse impact on the health of the gum as well. When we age, the gum tissue becomes less elastic and also more likely to recede. But age is not the sole condemnation to gum problems. Oral care in life really counts a lot.
Age naturally affects gum health too. As we get older, gum tissue becomes less elastic and more prone to recession. However, age alone doesn't doom you to gum problems. Proper care throughout life makes a tremendous difference.
Lifestyle and Health Factors
Smoking is among the first lifestyle habits that speed up the recession of the gum. Use of tobacco products slows blood circulation to gums, interferes with healing and creates conditions in which disease-causing germs multiply. Teeth grinding (bruxism) also exerts excessive pressure on the teeth and supporting structures and move the gums off tooth surfaces gradually.
Due to hormonal changes during pregnancy, menopause, or as a result of certain medicines, gums may become sensitive and recede. Being aware of these risk factors can guide you towards making proactive actions in resolving the issue of how to treat receding gums.
Warning Signs And Symptoms
Visual Indicators
The most apparent indicator is that the teeth now look longer than usual. There may be areas between teeth that did not appear before or there will be exposed yellowish root structure towards the gum line. Some may say that their teeth are growing but in reality, the gums are retracting.
A second obvious indication is alterations in the orientation of your teeth in relation to biting. Recession may cause gradual changes to your bite so that you experience pointy spots of discomfort or that some teeth appear longer than others.
Physical Symptoms
Tooth sensitivity is the most frequent complaint of people dealing with receding gums. Hot coffee may seem like it burns, ice cream may result in painful sensations and even cold air may result in painful feelings. This is because the protective gum no longer covers painful root surfaces.
Severe bleeding when brushing or flossing, nagging bad breath, and wobbling teeth are also red flags. Certain individuals also feel a metallic taste or feel the tenderness of their gums. These symptoms cannot be overlooked because they are signs that recession is on the rise and therefore needs an intervention.
Professional Treatment Options
Non-Surgical Treatments
Professional deep cleaning is the initial remedy against the recession of gum. This is a procedure known as scaling and root planing, which removes bacterial deposits both above and below the gum line. Your dental hygienist or periodontist will use special instruments to clean up areas that you cannot get with normal brushing.

The process involves numbing the treatment area for comfort, then carefully removing plaque and tartar buildup. Root planing smooths rough spots on tooth roots where bacteria tend to accumulate. While not exactly comfortable, most patients tolerate the procedure well and notice improvement within weeks.
Deep cleaning addresses the bacterial component that often drives recession. By eliminating the source of irritation, your gums can begin healing naturally. This approach works best for mild to moderate recession and often serves as preparation for more advanced treatments when necessary.
Many dental professionals combine deep cleaning with antimicrobial treatments or special mouth rinses to enhance results. The key is removing bacterial threats while supporting your body's natural healing processes. When you're exploring how to treat receding gums professionally, this conservative approach often provides excellent results without surgery.
Surgical Interventions
Gum Graft Surgery
When non-surgical methods aren't sufficient, gum grafting offers a proven solution for replacing lost tissue. The procedure involves taking healthy tissue from another area of your mouth (usually the roof of the mouth) and attaching it to areas with recession.
Modern grafting techniques have become much more comfortable than earlier methods. Surgeons can often use minimally invasive approaches that reduce post-operative discomfort and speed healing. Recovery typically takes 2-4 weeks, during which patients follow specific dietary and care instructions.
Pinhole Surgical Technique
This innovative approach represents a breakthrough in gum recession treatment. Instead of cutting and grafting tissue, the surgeon creates tiny holes in the existing gum tissue and gently repositions it to cover exposed roots. The technique requires no sutures and often heals within days rather than weeks.
The pinhole method works best for patients with adequate existing gum tissue that just needs repositioning. Not everyone qualifies for this technique, but those who do often prefer it over traditional grafting for its reduced recovery time and minimal discomfort.
Regenerative Procedures
Advanced cases might benefit from procedures that regenerate lost bone and tissue around teeth. These treatments use special proteins or growth factors to stimulate your body's natural repair mechanisms. While more complex and expensive, regenerative procedures can restore significant amounts of lost support structure.
Cost and Insurance Considerations
Professional treatments range from several hundred to several thousand dollars depending on the complexity and extent of recession. Basic deep cleaning typically costs $200-$400 per quadrant, while surgical procedures can range from $1,000-$4,000 per treated area.
Most dental insurance plans cover basic treatments like scaling and root planing, especially when medically necessary. Surgical procedures may have partial coverage, but cosmetic aspects might not be covered. Always verify coverage details with your insurance provider before beginning treatment.
Natural And Home Remedies
Oil Pulling Therapy
This ancient Ayurvedic practice involves swishing oil in your mouth for 15-20 minutes before spitting it out. Coconut oil is most commonly used due to its antimicrobial properties and pleasant taste. The oil "pulls" bacteria and toxins from your mouth, reducing the bacterial load that contributes to gum problems.
Research suggests oil pulling can reduce harmful bacteria, decrease inflammation, and improve overall oral health. While it won't reverse severe recession, it can support gum health and potentially slow progression when combined with proper oral hygiene.
The technique is simple: take a tablespoon of coconut oil, swish gently (don't gargle), and spit into trash (not the sink, as coconut oil can clog drains when it solidifies). Start with 5-10 minutes if 20 minutes feels too long initially.
Essential Oil Treatments
Natural essential oils offer powerful antimicrobial and anti-inflammatory properties that can support gum health significantly. When you're learning how to treat receding gums naturally, essential oil treatments deserve serious consideration for their proven effectiveness and gentle approach.
The Goodbye Company Gum Disease solution represents an innovative blend specifically formulated for gum health. This all-natural preventative oral care solution combines Omega 3 and 9 oils with carefully selected essential oils including neem and clove—two powerhouse ingredients known for their oral health benefits.
Neem oil has been used in traditional medicine for centuries due to its antibacterial, antifungal, and anti-inflammatory properties. It helps reduce harmful bacteria that contribute to gum disease while supporting tissue healing. Clove essential oil provides natural pain relief and antimicrobial action, making it particularly valuable for those experiencing sensitivity or discomfort from receding gums.
The Omega 3 and 9 oils in The Goodbye Company formula provide additional anti-inflammatory benefits while nourishing gum tissue. These healthy fats support cellular repair and can help reduce the inflammation that drives gum recession. If you currently suffer from bleeding gums, tooth pain, or sensitivity to hot or cold temperatures, incorporating this natural solution into your daily routine could provide significant relief.
What makes this approach particularly appealing is its gentleness combined with effectiveness. Unlike harsh chemical treatments, how to treat receding gums with natural essential oil blends supports your mouth's natural healing processes without disrupting the delicate balance of beneficial bacteria.
Herbal Rinses and Applications
Aloe vera gel offers soothing and healing properties that can benefit irritated gum tissue. Pure aloe vera (without added sugars or chemicals) can be gently massaged into affected areas or used as a mouth rinse. Its anti-inflammatory compounds help reduce swelling and promote tissue repair.
Green tea contains catechins - powerful antioxidants that fight bacteria and reduce inflammation. Drinking green tea regularly or using cooled green tea as a mouth rinse can support gum health. Some people find that holding green tea in their mouth for several minutes before swallowing maximizes the contact time with gum tissue.
Turmeric's active compound, curcumin, provides potent anti-inflammatory effects. Creating a paste with turmeric powder and water, then gently applying it to affected areas, may help reduce inflammation and support healing. However, be aware that turmeric can stain, so use it carefully and rinse thoroughly afterward.
Dietary Modifications for Gum Health
Anti-inflammatory foods play a crucial role in supporting gum health from the inside out. Fatty fish rich in omega-3 fatty acids, leafy green vegetables, berries, and nuts all provide nutrients that support tissue healing and reduce inflammation throughout the body, including the gums.
Vitamin C is particularly important for gum health, as it's essential for collagen production; the protein that gives structure to gum tissue. Citrus fruits, strawberries, bell peppers, and broccoli are excellent sources. However, if you have sensitive teeth due to recession, consume acidic fruits as part of meals rather than alone to minimize enamel exposure.
Avoiding inflammatory foods like refined sugars, processed foods, and excessive alcohol can also support your gum healing efforts. These foods promote inflammation and can feed harmful bacteria in your mouth, working against your treatment efforts.
Saltwater Rinses and pH Balance
Simple saltwater rinses remain one of the most effective and accessible home remedies for gum health. Salt creates an environment that's hostile to harmful bacteria while promoting healing. Mix half a teaspoon of sea salt in warm water and rinse gently for 30 seconds, 2-3 times daily.
The salt solution helps reduce swelling, draws out infection, and creates alkaline conditions that discourage bacterial growth. It's particularly helpful during the acute phases of gum inflammation or after professional treatments to support healing.
Maintaining proper pH balance in your mouth is crucial for gum health. Bacteria thrive in acidic environments, so using alkalizing rinses or eating alkaline foods can help create conditions that favor beneficial bacteria over harmful ones.
Prevention Strategies
Proper Oral Hygiene Techniques
The foundation of gum health lies in consistent, proper oral hygiene. Use a soft-bristled toothbrush held at a 45-degree angle to the gum line. Make small, gentle circular motions rather than aggressive back-and-forth scrubbing. This technique removes plaque effectively while being gentle on gum tissue.
Electric toothbrushes can be particularly helpful for people who tend to brush too aggressively. Many models have pressure sensors that alert you when you're applying too much force. The consistent motion of electric brushes can also be more effective at removing plaque than manual brushing for some people.
Flossing daily is non-negotiable for gum health. Use a gentle sawing motion to guide the floss between teeth, then curve it around each tooth and slide it under the gum line. Avoid snapping the floss against your gums, which can cause damage to delicate tissue.
Treatment Comparison Table
Understanding your options helps you make informed decisions about how to treat receding gums based on your specific situation, budget, and preferences.
|
Treatment Type |
Effectiveness |
Cost Range |
Recovery Time |
Invasiveness |
Suitable For |
|
Professional Deep Cleaning |
High |
$200-$400 |
1-2 days |
Low |
Early-moderate stages |
|
Gum Graft Surgery |
Very High |
$1,000-$3,000 |
2-4 weeks |
High |
Severe recession |
|
Pinhole Technique |
High |
$1,500-$4,000 |
3-7 days |
Moderate |
Moderate recession |
|
Natural Remedies |
Moderate |
$10-$50 |
Ongoing |
None |
Prevention/mild cases |
|
The Goodbye Company |
Moderate-High |
$30-$60 |
Ongoing |
None |
All stages |
|
Oil Pulling |
Low-Moderate |
$5-$15 |
Ongoing |
None |
Prevention/support |
Each treatment approach has distinct advantages and limitations. Professional surgical interventions offer the most dramatic results for severe cases but require significant time and financial investment. Natural approaches like essential oil treatments provide gentler, ongoing support that can be particularly effective for prevention and mild cases.
The key is often combining approaches—using professional treatment to address existing damage while incorporating natural methods for ongoing maintenance and prevention. When considering how to treat receding gums, the best strategy often involves multiple complementary approaches rather than relying on any single method.
When to Seek Professional Help
Red Flag Symptoms
Certain symptoms require immediate professional attention regardless of your current treatment approach. Severe pain that interferes with eating or sleeping, significant swelling, or pus discharge from gum pockets all indicate active infection that needs prompt treatment.
Rapid recession - noticeable changes in gum position over weeks rather than months—suggests aggressive progression that requires professional intervention. Similarly, teeth that feel loose or mobile need immediate evaluation to prevent tooth loss.
Persistent bleeding despite consistent oral care, especially if accompanied by bad breath or metallic taste, may indicate advanced gum disease requiring professional treatment beyond basic recession management.
Finding the Right Dental Professional
For complex gum issues, consider consulting a periodontist—a specialist in gum and supporting structure diseases. These professionals have advanced training in both non-surgical and surgical gum treatments and can provide the most current treatment options.
When selecting a dental professional, ask about their experience with your specific type of recession, their preferred treatment approaches, and their philosophy regarding natural versus conventional treatments. Some practitioners integrate natural approaches with conventional care, which might align better with your preferences.
Don't hesitate to seek second opinions for expensive or extensive treatment recommendations. Different practitioners may suggest varying approaches, and understanding your options helps you make informed decisions about how to treat receding gums in your specific situation.
Myths And Misconceptions
Common Gum Recession Myths
One persistent myth suggests that receding gums can grow back completely on their own with proper care. While excellent oral hygiene can prevent further recession and support gum health, severely receded tissue typically doesn't regenerate to original levels without professional intervention.
Another misconception is that gum recession only affects older adults. In reality, recession can begin in the teenage years, especially among people with aggressive brushing habits, genetic predisposition, or orthodontic issues that create pressure points.
Many people believe that bleeding gums are normal and nothing to worry about. Healthy gums don't bleed during routine brushing or flossing. Bleeding indicates inflammation and potential gum disease that requires attention before it progresses to recession.
Realistic Expectations
Understanding what different treatments can and cannot achieve helps set appropriate expectations. Natural approaches excel at preventing further recession and supporting overall gum health but typically can't restore significant amounts of lost tissue.
Professional treatments can halt recession progression and, in many cases, restore substantial tissue coverage. However, even the best treatments might not achieve perfect restoration to pre-recession levels, especially in severe cases.
The most realistic goal when learning how to treat receding gums is stabilizing the condition, reducing symptoms, and preventing progression. While some regeneration is possible, focusing on preservation and symptom management often provides the most satisfying results.
Frequently Asked Questions
Can receding gums grow back naturally?
Gum tissue has limited ability to regenerate on its own. While excellent oral hygiene and natural treatments can prevent further recession and support gum health, severely receded areas typically don't grow back completely without professional intervention.
How long does it take to treat receding gums?
Natural treatments like oil pulling or essential oil applications typically show initial benefits within 2-4 weeks of consistent use, with continued improvement over months.
Professional non-surgical treatments often provide noticeable results within 4-6 weeks, while surgical interventions might take 2-3 months for complete healing and final results. When learning how to treat receding gums, patience is essential - gum tissue heals slowly compared to other body tissues.
Are natural remedies effective for gum recession?
Natural remedies can be surprisingly effective, especially for prevention and mild cases. Essential oil treatments, particularly formulations like The Goodbye Company Gum Disease oral solution that combine antimicrobial oils with anti-inflammatory compounds, often provide significant symptom relief and may slow recession progression.
Can I prevent further gum recession?
Yes, further recession can almost always be prevented with proper care. Addressing the underlying causes - bacterial buildup, aggressive brushing, grinding, or systemic factors - typically halts progression effectively.
Consistent oral hygiene with proper technique, regular professional cleanings, and natural supportive treatments create an environment that favors gum health over recession.
Is gum recession reversible?
Complete reversal of gum recession is challenging, but significant improvement is often possible. Professional treatments like gum grafting can restore most or all of the lost tissue coverage, essentially "reversing" the visible effects of recession.
How do I know if my gums are receding?
The most obvious sign is teeth that appear longer than before or gaps between teeth that weren't previously visible. You might notice more of the yellowish root surface showing near the gum line, or experience increased sensitivity to hot, cold, or sweet foods.
What causes gums to recede quickly?
Rapid recession often results from acute bacterial infections, aggressive oral care practices, or systematic health issues that affect healing. Grinding teeth, especially during sleep, can put tremendous pressure on gum tissues and cause rapid changes.
Outlook
So - this is what we’ve learned so far about how to treat receding gums effectively. It often involves multiple strategies working together. Professional cleaning might address bacterial buildup, while natural treatments provide daily support and symptom relief. The most successful treatment plans typically combine the best of both conventional and natural approaches. Speaking of natural approaches, don’t forget to use The Goodbye Company’s Oral disease solution.
Don't let embarrassment or fear prevent you from addressing gum recession. Modern treatments have become much more comfortable and effective than in the past, and many natural approaches can provide significant benefits with minimal risk or discomfort.


